本病例发表于日本循环学会官方期刊 Circulation Reports(2025年5月),以 "Images in Cardiovascular Medicine" 形式报道了日本首例经颈静脉入路经导管三尖瓣置换术(TTVR),采用LuX-Valve Plus系统完成。该研究由来自日本的手术中心团队完成,属于单例病例报告,重点呈现了该技术在日本人群中的首次临床应用经验。

扫描二维码可识别原文

https://doi.org/10.1253/circrep.CR-25-0020
病例背景与手术指征
患者为一名85岁女性,既往存在持续性心房颤动(AF),因反复心力衰竭入院。经胸超声心动图(TTE)提示重度三尖瓣反流(TR),是导致其反复心衰发作的主要原因。
从心功能评估来看,患者左心功能整体尚可:左室射血分数(LVEF)为62%;右心功能亦处于相对保留状态,三尖瓣环收缩期位移(TAPSE)为20 mm,右室射血分数为52%,TAPSE/肺动脉收缩压比值为0.58。这提示患者虽存在重度TR,但右心尚具备一定代偿能力,具备干预基础。
然而,患者合并间质性肺炎及明显肺功能受损,使其外科开胸手术风险显著升高。术前CT评估进一步用于明确三尖瓣解剖结构及入路条件。



基于患者高龄、肺部基础疾病及整体手术风险,经心脏团队多学科讨论后认为,传统外科三尖瓣置换术围手术期风险过高,经导管三尖瓣置换术为更可行的治疗选择。
在入路选择上,团队优先考虑经颈静脉路径。相较经股静脉入路,经颈路径能够减少外周血管条件的限制,更适用于高龄或血管条件较差的患者,同时在解剖上更有利于器械同轴进入三尖瓣区域。
LuX-Valve Plus系统特点
LuX-Valve Plus是专为重度三尖瓣反流患者设计的经导管三尖瓣置换器械。该系统在设计上具有以下几个特点:
首先,在入路适配方面,其配套的输送系统支持经颈静脉路径,能够减少经股静脉路径对血管条件的依赖,从而拓宽适应人群,尤其适用于高龄或存在外周血管限制的患者。
其次,在定位与释放方面,系统强调通过室间隔锚定与瓣叶夹持实在稳固锚定,并同轴定位设计,使器械在三尖瓣区域能够实现更稳定的对位与释放,有助于提高植入精度。
此外,在并发症控制方面,系统通过其结构设计,有助于降低瓣周漏(PVL)的发生风险,从而提升术后瓣膜功能的稳定性。
手术流程与围手术期评估
术前评估是本例成功实施的重要基础。患者接受多层螺旋CT(MSCT)检查,对三尖瓣环进行三维重建与精确测量,以评估解剖适配性,并选择合适型号(30–45 mm)的人工瓣膜。
同时,基线影像学评估包括经胸超声心动图,用于明确TR严重程度、瓣叶对合情况;右心导管检查用于获取基础血流动力学数据,包括肺毛细血管楔压(PAWP)、肺动脉压(PA)、右心室(RV)及右心房(RA)压力及v波等,为术中判断和术后对比提供依据。

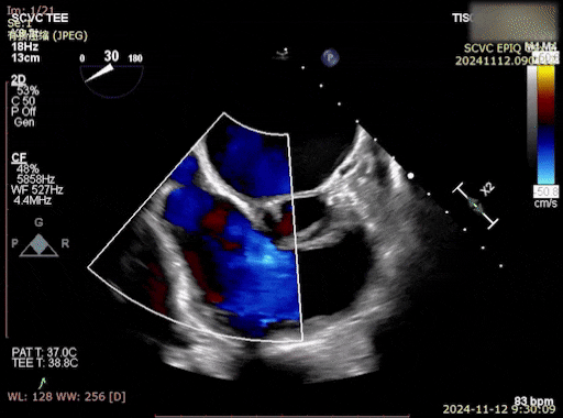
术前右心室造影及TEE提示三尖瓣大量反流
在手术过程中,通过影像学引导完成瓣膜的输送、定位与释放。经颈静脉路径使器械能够更直接进入右心系统,有利于实现同轴对位。术中影像用于实时评估瓣膜位置、展开情况及即刻功能。
术后则通过超声心动图等手段对瓣膜功能、反流程度及右心负荷变化进行评估。

术后即刻反流消失,瓣膜稳定
手术结果
本例手术顺利完成,LuX-Valve Plus系统成功植入,人工瓣膜位置准确,功能正常。围手术期未出现严重并发症,如心包填塞或血管损伤等。
在疗效方面,术后第1天随访显示患者心力衰竭症状明显缓解。影像学提示三尖瓣反流由术前重度显著改善至微量反流,右心系统容量及压力负荷均得到有效降低。同时,未观察到明显瓣周漏或瓣膜功能异常。
该病例具有多方面的临床价值。首先,LuX-Valve Plus系统为在亚洲人群中的应用提供了更多临床证据,这也是日本首例经颈静脉入路TTVR手术,标志着该技术路径在日本的首次成功应用。其次,在治疗策略层面,本例为高龄、合并严重肺功能不全等外科高风险患者提供了一种可行的微创替代方案。对于传统外科手术风险较高甚至无法耐受手术的患者,TTVR提供了新的治疗路径。再次,从技术角度看,经颈静脉入路在本例中的成功应用,提示其在解决经股静脉路径受限问题方面具有潜在优势。同时,系统在定位与锚定方面的设计,有助于实现稳定植入,并降低瓣周漏风险。
总体来看,该病例在真实临床场景中展示了LuX-Valve Plus系统的可操作性与初步疗效,为后续进一步临床研究及推广应用提供了参考依据。
声明
本文披露内容仅作为学术交流之目的,在任何情况下均不得被视为医疗建议。我司对所有原创、转载、分享的内容的准确性、完整性或时效性不做任何陈述或保证。
文中所涉数据仅供参考,不能视为建议或推荐,以及要约或邀请。本材料以公开信息、内部开发的数据和来自其它具有可信度的第三方的信息为基础。但是,并不保证这些信息的完全可靠。所有的观点和看法基于材料撰写当日的判断,并随时有可能在不予通知的情况下进行调整。
本文提及的任何医疗器械,我司不对其在诊疗活动中的性能、临床表现等做任何承诺及保证。