近期,通辽市人民医院在中国医学科学院阜外医院潘湘斌院长团队的指导下,由王旭主任、邵志远主任团队,在全超声、无射线条件下,成功完成内蒙古自治区首例纯超声引导下经导管主动脉瓣置换术,这也是通辽地区首例经心尖路径实施的TAVR手术。
该手术在不依赖X线透视的情况下完成,对术者的影像判断与操作协同提出了更高要求,标志着通辽市人民医院在结构性心脏病微创介入治疗及超声引导技术应用方面取得了重要突破。
在充分的术前评估和个体化方案指导下,手术过程顺利,术中血流动力学稳定,术后主动脉瓣反流得到有效纠正,为解剖结构复杂、传统外科手术风险较高的主动脉瓣反流患者提供了安全、可行的微创治疗新选择。
患者基线
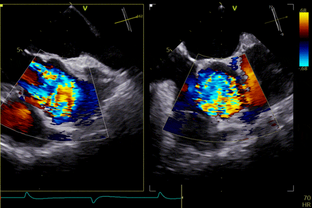
患者男性,主诉阵发性胸闷、心悸1年,加重6个月。患者1年前无明显诱因出现阵发性胸闷、心悸症状,每次持续约10分钟后缓解;6个月前症状加重,伴肩背部疼痛,每次持续约10–20分钟后缓解。20天前于门诊就诊,心脏彩超提示主动脉瓣钙化伴大量反流。近日患者再次出现胸闷、气短症状,为进一步治疗入院。既往史包括高血压病史4年、陈旧性脑梗死、胆囊切除术后1年。入院诊断为:主动脉瓣重度关闭不全,高血压3级(极高危),冠状动脉粥样硬化性心脏病。心脏彩超检查提示:主动脉瓣钙化,右冠瓣脱垂伴重度关闭不全,主动脉瓣口血流速度增快,合并轻度二尖瓣及三尖瓣反流。冠状动脉造影检查结果示:左主干正常,前降支未见狭窄病变,回旋支散在斑块,右冠状动脉未见狭窄病变。
术前评估
术前CT评估提示,患者主动脉瓣三叶瓣,瓣叶增厚,舒张期右冠瓣脱垂,右冠瓣瓣叶轻度钙化,存在三个瓣窦,分布较均匀;主动脉瓣环周长折算直径28.0mm;左心室流出道周长折算直径29.5mm,无钙化,无狭窄;STJ直径35.3mm,升主动脉直径41.8mm;双侧冠脉开口高度可LCA13.5mm ,瓣叶长17.2mm;RCA33.9mm,瓣叶长10.0mm;侧左冠脉轻度钙化;横位心,左室主动脉夹角为135°;






术中回顾
在超声引导下,手术团队高效精准地完成了瓣膜的定位、释放与功能评估。手术过程顺利,夹持件入窦与定位一气呵成,三枚夹持件的释放与锚定位置与术前评估完全一致,器械操作时间约5分钟。术中超声评估显示无瓣周漏,血流动力学表现稳定,手术过程顺利。
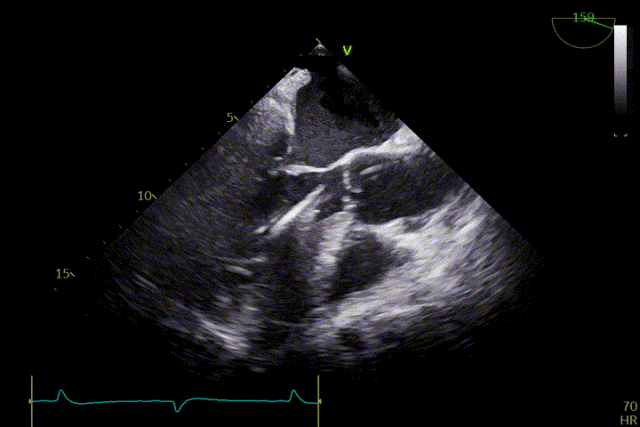
术前超声
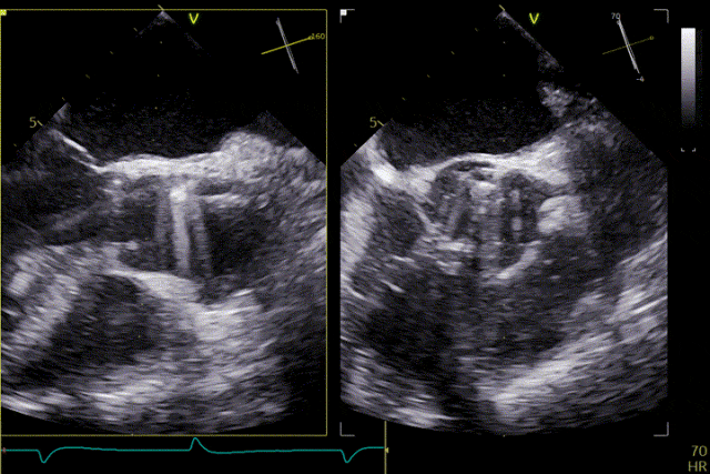
输送器跨瓣
打开定位件
定位件入窦
瓣膜释放
术后效果
患者主动脉瓣重度反流纠正,术后无反流、无瓣周漏。术后心脏彩超显示人工生物瓣启闭良好,平均跨瓣压差2mmHg,流速正常。患者恢复情况良好,心功能较术前有了明显改善。
总结
Ken-Valve是一款专为主动脉瓣关闭不全(或合并狭窄)患者设计的TAVR产品,其多规格设计以及大规格尺寸优势,能覆盖从23mm到33mm的瓣膜尺寸,填补了大瓣环反流患者治疗中的产品空白。Ken-Valve在设计上融合了多项关键技术,其一体式夹持定位件设计能提供稳定可靠的锚定力,有助于在无钙化或钙化不足的解剖条件下实现安全固定;防漏环设计则有望降低术后瓣周漏的发生率。值得一提的是,Ken-Valve采用的独特专利抗钙化技术处理的牛心包瓣叶在生物相容性和机械强度方面表现优异,具备良好的耐久性。此外,可调弯输送系统也能够满足更加复杂的入路要求,确保瓣膜准确释放。
通辽市人民医院首例全超声、无射线条件下经导管主动脉瓣反流介入手术的成功完成,不仅为复杂主动脉瓣反流患者提供了安全、有效的微创治疗新选择,也标志着该院在结构性心脏病介入治疗及超声引导技术应用方面迈上了新的台阶。
在传统心血管介入治疗中,放射线和造影剂的依赖性带来了诸如医源性损伤、技术门槛高、空间成像信息受限以及对大型设备依赖强等问题。为改善上述局限,阜外医院结构性心脏病团队历经多年探索,构建了以“可视化、定位、定向”为核心的纯超声引导介入治疗技术体系——PAN术式。PAN术式的应用不仅减少了射线暴露和造影剂相关的风险,也让介入治疗从“重设备、重依赖”向“轻介入、更普惠”转变。通过流程优化与技术集成,该技术可在无需大型影像设备的环境下开展复杂介入操作,为提升治疗安全性、扩大可及性、促进基层能力建设提供了新的路径。
声明
本文披露内容仅作为学术交流之目的,在任何情况下均不得被视为医疗建议。我司对所有原创、转载、分享的内容的准确性、完整性或时效性不做任何陈述或保证。
文中所涉数据仅供参考,不能视为建议或推荐,以及要约或邀请。本材料以公开信息、内部开发的数据和来自其它具有可信度的第三方的信息为基础。但是,并不保证这些信息的完全可靠。所有的观点和看法基于材料撰写当日的判断,并随时有可能在不予通知的情况下进行调整。
本文提及的任何医疗器械,我司不对其在诊疗活动中的性能、临床表现等做任何承诺及保证。